Covid Denier Catches Covid — From NBC News
Change of Heart and Mind
These days I can hardly take a step or turn a page without bumping into some naysayer about Covid-19. I was on my hike in the hills the other day when a woman came toward me on my path, which was a narrow one, and so I stepped aside to let her pass–since we were hiking on a difficult trail, neither of us wore a mask. Huffing and puffing from extreme exercise is not possible with a mask. Then again, I didn’t expect to bump into another human on my trail.
She yelled toward me as she saw me step aside “No need! There is no Covid!”. I looked at her and told her “interesting because I had it”… She looked back like she saw a ghost and continued on her path as if the conversation had never taken place.
I have often wondered what will happen to people like her when they catch it? After all, it is not an “if” but a “when”. So it will happen. I would love to be a fly on the wall at that time!
The Problem!
Why don’t people believe that Covid exists? Why do they argue about the number of dead being overestimated? These questions, and more, have been bugging me since the beginning. And by now I have enough experience with bumping into these people and having major arguments to have understood the problem. Here I describe what I so far have found and will try to give an explanation–not to convince these people, because that is impossible. Rather, my goal is simply to point them to this article instead of having an argument with them. It will just save me time and my sanity.
Problem #1: Denial
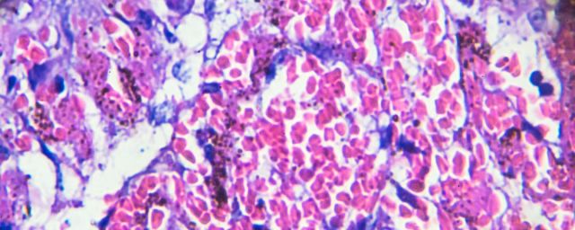
This one is pretty simple: most think that Covid-19 is a respiratory illness and nothing different from the flu. Of course, this is based on misinformation. Covid is not a respiratory illness and not even similar to the flu. In this article I describe what Covid is: it is a vascular disease, which often attacks the lungs, but it also attacks the brain, the heart, the kidneys, and the liver. It attacks every organ it possibly can.
The vascular nature of the disease means that it can get everywhere because it travels in the blood and causes blood clots wherever it travels, damaging organs.
Its vascular nature means that when it gets into the lungs, it causes miniature blood clots (thrombus if only one and thrombi for many) in the lungs; when it gets into the heart, it causes lots of thrombi in the heart, when it gets into the liver, it causes thrombi in the liver, when it gets into the brain, it causes thrombi in the brain, and when it gets into the kidneys, it causes thrombi in the kidneys. All the images I linked to are from academic articles discussing Covid patients. For the lungs, I could have substituted my own CT scan–though I am not dead (yet), so I didn’t.
So the denial is clearly coming from the combination of misinformation that Covid-19 is a light respiratory disease, similar to the flu, and our government–including Fauci–were not very helpful in downplaying this disease. Also, it seems that there are many people who feel it macho to ignore and just “get it” and then “get it over with”… just like the man whose photo with the lovely oxygen concentrator is my cover. Indeed, tough it out dear fella!!! I hope you survive!
Problem #2: Covid Death Overestimation
There is another category of people who accept that Covid-19 is real, but suggests that it is nothing more than the flu. They forever look for the “excess death” over previous years and try to prove with whatever tricks they can deploy that what we have now is nothing more than the magnitude of the flu.
A typical year in the US, between 12,000-61,000 people die from the flu. The highest death rate from the flu (since the Spanish Flu) was in 2009 when the H1N1 pandemic hit. At that time, it is estimated that between 151,700 – 575,400 people died globally (not in the US).
As the moment of this post’s writing, the current death toll globally from Covid-19 is 1,692,230 people, which is 3 times the H1N1 flu, and in the US 323,404 people died so far, which is 5 times a high-flu death year. Therefore, this is, so far, the biggest killer after the Spanish flu of 1918, which is estimated to have killed more than 50 million people globally. The United States lost 675,000 (read about it here), so about twice as many people as what we so far have lost–but Covid is not yet over… I suspect that we may end up with more deaths than the Spanish Flu by the time Covid is done with. The Spanish flu also took the most lives in its second round–we are now in the second round of Covid-19.
So why do people think that Covid deaths are overestimated?
The answer to this is more complicated. Here I have to ask you to answer the following teaser before I explain:
- Can you define “death from the flu”? How do people die?
- Can you define “death from stroke”? How do people die?
- Can you define “death from cancer”? How do people die?
The above are just 3 examples that I want to use to show you where the misunderstanding is. As I described earlier, people from Covid die from the following:
- Organ failure: heart
- Organ failure: brain
- Organ failure: lungs
- Organ failure: kidneys
- Organ failure: liver
Because death from Covid is by organ failure, such as kidney, heart, brain, lungs, or liver, and are not specific to Covid “disease”, people think these are distinct deaths and they are not caused by Covid. Yet, when I ask how people die from the flu, people cannot say more than pneumonia, which is lung failure. And how do they die from stroke? Brain hemorrhage so organ failure of the brain from blood clots or blood spillage. And how do they die from cancer? Organ failure–usually liver, kidney, lung, heart, or brain.
So if every death I listed above is caused by organ failure, yet we still call them “death from flu” or “death from cancer”, etc., then why not “death from Covid”?
I think the underlying problem is lack of understanding of what “death from cancer” or death from anything else means.
Comments are welcome, as always, and are moderated for appropriateness,
Angela



I edited your ugly comment down to these three:
…there is NO PROOF that this bug even exists…
…You got sick with the flu and were dumb enough to let a bunch of greedy doctors slap the ‘COVAIDS’ sticker on you’re idiot forehead, so now you think are some sort of crusader against the evil unvaccinated…
…Where did the seasonal cold and flu disappear to?…
LikeLike
After I edited your comment and deleted your terrible ugly discussion, I left the three points in that I will respond to:
1) …there is NO PROOF that this bug even exists…
I don’t know what planet you live on. Earth is not flat. The bug exists.
2) …You got sick with the flu and were dumb enough to let a bunch of greedy doctors slap the ‘COVAIDS’ sticker on you’re idiot forehead, so now you think are some sort of crusader against the evil unvaccinated…
I didn’t get the flu–and the guy in this post didn’t catch the flu. There are tests today to tell what virus one catches. A little education will help you. Not sure what “‘COVAIDS’ sticker” is but last I looked there was nothing on my forehead. I am also not crusading against the unvaccinated. I just want to be able to get surgeries, cancer treatments, broken legs, babies getting born, etc., be treated instead of the unvaccinated. After all, the vaccinated aren’t the ones filling the hospitals now but the unvaccinated ones do. They take up all beds in the hospitals, including ICUs. In my opinion they shouldn’t even be in the hospital. It is their decision to be deadly ill at home without medical care. So let them do that.
I most certainly hope you won’t go near any medical center for any care whatsoever that is associated with Covid. You are taking up the space of someone waiting heart surgery who got the vaccine and isn’t sick with Covid.
3) …Where did the seasonal cold and flu disappear to?…
The seasonal cold and flu is still here but much less so because we are wearing mask and are socially distanced. This provides protection against the cold and the flu as well as Covid. It would be good for all to wear the mask each cold and flu season and perhaps we could get rid of those annoying viruses. I for one will be wearing mask each cold/flu season. Covid showed me how good protection it provided.
My last point: ugly talk never got anyone anywhere in this world. You talk really ugly. The kind of ugly that your mother would tell you to wash your mouth with soap and water if she had heard you. Luckily only I have and I trashed it. Good riddance to you! And I hope you don’t catch this non-existing virus!
LikeLike
Hi Angela
I’ve sent you a private message via email
LikeLike
Got it.
LikeLike
Thank you so much for articulating this so well. I am so tired of the conspiracy theorists and those who describe it as just flu.
My family (hubby, me, daughters of 16 and 11) all had covid mid-July. My husband says that he has had hangovers worse than this – however, he still doesn’t have his taste and smell back – and it has been replaced with a horrible chemical smell while other things just smell disgusting.
I spent nearly 7 weeks in bed on nebuliser, cortisone, steroids and antibiotics. I had most symptoms and when I started working again, I noticed my eyesight had deteriorated. 2 months later, I was in high care with diabetes triggered by covid. Blood sugar was nearly 40. My heart muscles had inflammation, I have a hernia from coughing and my crohn’s disease is back after being in remission for nearly 17 years. My kidneys are taking strain from dehydration. But I am surviving …
Flu does not do this to you
LikeLike
Dear Lindsey,
I am very sorry to hear what happened to you and to your family. I hope you will recover in time–I know it will not be a short one and some more hits may still come. It seem you have “Long Covid” and that seems to not only hang on but I by now know several people who had Covid more than once. All of those who had it more than once will likely have such horrific outcomes.
I wish you a strong recovery. And I hope that you will be able to reverse your diabetes and colitis by getting on the carnivore diet. The carnivore, low carbs high fat, and ketogenic diets are the only three diets that can help you, with carnivore being the best for the problems you have. I am not sure how to treat a Covid-caused diabetes. I have not read about that before.
Best wishes to you,
Angela
LikeLike
Hello Angela
Thank you for responding to my story. Thankfully, I’ve been pretty much following the carnivore diet for the crohn’s/colitis, and it mostly works for the diabetes too. I have managed to improve my blood sugar levels a lot since I was diagnosed so I hope to have this under control before my next visit with specialist in March.
I’m finding the Facebook page so helpful and supportive. I’m checking regularly to see how others are dealing with their symptoms – my kidneys are taking strain from dehydration- mostly from one of the insulin meds and my hands, feet and tummy went numb. Its mostly back to normal in my hands and feet but with covid, you never know if its a direct symptom of the virus or from meds or from something else entirely.
Wishing you a complete recovery too – sending you strength and healing.
LikeLiked by 1 person
I wish you full recovery as well! ❤
LikeLike